メタルフリー審美歯科
メタルフリー審美歯科
精度の高い審美治療でお悩みを解決します

-
「自然な白い歯になりたい」「ギラッと光る金属の被せ物が気になる」「前歯の隙間をなんとかしたい」
口元は、顔の中でも最も目立つところであり、その方の印象を決めるところです。それだけにお悩みの方も多いようです。当院では、見た目の美しさも歯の健康の大切な要素と考え、自然でバランスのよい白さや、美しく整った歯の形や歯並びを重視しています。
女性ドクターならではのメリットを生かし、細かな歯の形や笑った時の歯の見え方など細かいご希望もお聞きして、患者さまのめざすゴールに向かって精度の高い審美治療を行います。
審美性を重視する男性や年配の方のご希望にもお応えします
最近では、さわやかな口元でビジネスやプライベートに自信をもって臨みたいという男性や、口元をきれいに整えて若々しさをとりもどしたいという年配の方も増えています。
ご希望にできるだけ寄り添い、きめ細かな治療をご提供いたしますので、お気軽にご相談ください。
新しい治療技術で、手軽に白い歯や美しい口元が実現します

-
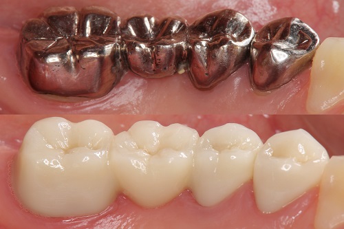
歯科治療技術が進み、さまざまな材質の被せ物や詰め物が開発され、美しい歯並びや整った口元が実現するようになりました。
また以前に治療したところの銀歯や金属の詰め物、被せ物などが気になる場合も、セラミック(陶材)などを使用して白く美しい歯にすることができるようになりました。当院では、セラミック(イーマックス・インセラム)など、多様な審美歯科メニューを取りそろえると共に、セラミック加工の得意な歯科技工士や審美歯科専門の歯科技工所と連携し、全体のバランスを考慮した精度の高い審美治療をご提供します。
金属アレルギー対策としてもメタルフリーをおすすめしています

-
最近、歯科治療に用いた金属によるアレルギーが増えていると言われます。
歯に詰めた金属は時間が経過すると酸化し、金属イオンが溶け出します。この金属イオンに対して免疫反応が起こるとアレルギー症状が現れるのです。
すべての方に症状が出るわけではありませんが、保険診療でよく使われる金銀パラジウム合金やニッケルクロム合金は発症リスクが高いことがわかっています。当院では、金属アレルギーを予防するためにも、安全なセラミックなどを使用したメタルフリー治療をおすすめしています。
有害なアマルガムの除去も行っています
以前、歯の詰め物に使われていた金属(アマルガム)の成分が、神経難病や自己免疫疾患に関わっているという報告もあるため、当院ではアマルガムの除去も慎重に行っています。金属アレルギーが心配な方はぜひご相談ください。
こんな症状は金属アレルギーの可能性があります
- 歯科治療を受けてから調子が悪い
- 口内炎が治らない
- 手や顔の皮膚トラブルがある
- 指輪などの金属製品でかぶれる
- 歯ぐきが黒ずんでいる
- 最近、お口の中で金属の味がする